【卓越医疗】国家级专家坐诊 肝癌患者有望“家门口”根治
发布时间:2026-03-30 09:24
本文来源: 党政办
分享到:
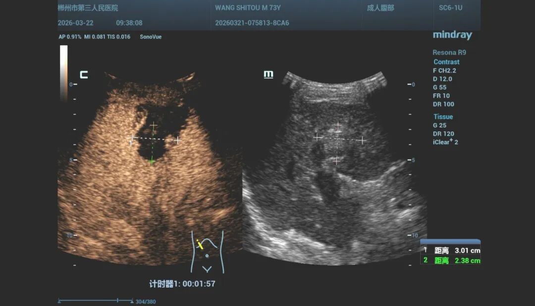
为了进一步提升我院对肝脏肿瘤的微创诊疗水平,让本地市民在“家门口”就能享受到国家级顶尖专家的医疗服务。近日,我院超声中心特邀中山大学附属第一医院(中山一院) 知名专家谢晓华,成功为一名73岁肝硬化肝癌患者,实施超声引导下的肝癌射频消融术。

射频消融术是目前治疗肝癌的重要手段之一,具有创伤小、恢复快、疗效确切等特点,尤其适用于因身体条件无法耐受传统外科手术的患者。该技术对操作者的精准度要求极高,需要在超声影像的实时引导下,精准地将消融针穿刺到肿瘤部位,“烧死”癌细胞。
手术当天,我院超声中心、麻醉科手术室、肝胆外科团队与谢晓华教授紧密配合,凭借丰富的临床经验和精湛的技术,对患者病情进行全面评估,并精确规划穿刺路径。在超声的实时监控下,消融针精准命中肿瘤病灶,整个手术过程顺利,术后评估显示消融范围完全覆盖肿瘤,达到根治性治疗效果。


↑术后造影图
此次手术的成功开展,不仅为我市肝癌患者避免了长途奔波的劳苦,节省就医成本,更标志我院超声中心在介入超声治疗领域迈上新的台阶。通过与国内顶尖医院的深度合作,我院将先进的技术和理念“引进来”,将优质医疗资源“沉下去”,为守护群众生命健康提供了更强有力的保障。


扫一扫 手机端浏览
